Missouri - Appel aux dons

 
 

02/10/2017 : Merci à tous !

La collecte de Missouri est terminée.
Merci à toutes et tous pour votre implication.
Missouri va bien, elle est chez Laetitia avec sa copine Lumia.
 

 

25/01/2017: les nouvelles sont bonnes!

Cela faisait 3 semaines que Missouri était sous alimentation par sonde, on le lui a retiré hier. C'est encore difficile pour elle de se nourrir mais il faut la pousser à faire encore des progrès.
Elle a perdu un lambeau de peau nécrosée sous la mâchoire mais tout est propre et vascularisé. Elle doit garder sa collerette au maximum pour ne pas endommager les sutures.

Nous en profitons pour remercier de leur don Catherine C., Didier M.,Patricia L.,
Chrystel B., Brigitte G., Dagmar S., Carole B., Aurore M., Isabelle B., Christine S., Claudine F., Sylvain L. et tous les donateurs anonymes et ceux dont nous n'avons pas encore ouvert les courriers !

14/01/2017 :

MISSOURI avait été trouvée sur un point de nourissage, complètement perdue, appelant désepérément à l'aide et suivant la nourricière partout. C'était la première fois qu'elle voyait Missouri sur les lieux, probablement abandonnée ... Placée en famille d'accueil, elle avait tout suite montré à quel point elle aimait les gros câlins !
Rapidement, elle s'était senti mal à l'aise au milieu de tant de chats et de chatons, essayant à la fois de protéger ces derniers, tout en essayant de vivre son quotidien. Missouri avait ensuite trouvé une famille d'accueil avec un seul chat et elle reprenait goût à la vie.

Mais voilà, au petit matin du 3 Janvier 2017, Missouri est sortie prendre l'air avec sa copine Lumia, puis elle est rentrée en filant directement se cacher dans les combles, laissant à peine entrevoir que quelque chose clochait... Sa famille d'accueil lui a tout de suite emboité le pas et comme Missouri ne réagissait pas, elle a filé aux urgences vétérinaires.

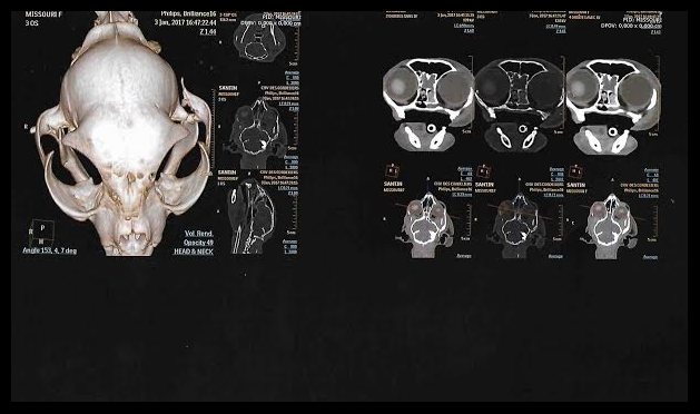
Le pronostic ? Pas bon du tout : choc frontal avec une voiture, multiples fractures faciales, mâchoire cassée, un œil très abîmé, de gros oedèmes rendant impossible tout examen plus approfondi...
Missouri était bien évidemment en état de choc, quasi comateuse, sous morphine, et sa famille d'accueil effondrée. Impossible de dire si Missouri allait s'en sortir... et dans quel état au vu du probable choc cérébral.

Dès le lendemain, l'état de Missouri et la légère diminution des oedèmes ont pu permettre de lui faire passer un scanner qui n'a révélé aucune lésion! Ouf, nous avons sauté de joie, Missouri était passée au travers du pire!

Mais à quel prix ? Elle ne peut se nourrir seule, elle est alimentée par sonde gastrique, les chairs doivent être régulièrement nettoyés, ses pansements changés, son œil contrôlé. Le plus dur est passé, il ne faut pas la lâcher maintenant !

Mais les soins sont lourds et coûteux ... Plus de 1300 euros de frais pour la voir à nouveau avec ce beau regard tendre!

Nous faisons donc appel à vous, encore et toujours, en ce début d'année que nous aurions souhaité plus gai !

 

Vous pouvez envoyer vos dons :
Par chèque à l'Association Phoenix, 4 rue Ernest Chausson, 94440 Santeny
Par virement bancaire en demandant notre RIB
Ou directement via https://www.helloasso.com/…/…/vous-souvenez-vous-de-missouri

TOUS VOS DONS SONT DEDUCTIBLES D'IMPOTS

Encore merci à tous !

Date de dernière mise à jour : 06/10/2017